Wearing Braces
Makes Happy Faces!

Your content here.
Actual # of Happy Faces (completed braces)
0
.. and counting ;)

Your Keller Dentist

Owners of Today Dental

Today Dental Crowley

Orthodontists who get it!

At Today Dental in Keller your seasoned orthodontists are parents too with kids who have gone through orthodontic treatment! When it comes to braces and Invisalign, they’ve got the insider’s scoop, making your journey a breeze.

Invisalign options

Join the Invisalign revolution for a nearly invisible journey to straight teeth! We’re proud Invisalign certified professionals with a history of over 1100 successful cases.

Never too late for straight teeth

Smile confidently at any age with Today Dental of Keller! Restore your grin with Invisalign or braces, and revel in the additional benefit of improved dental hygiene through a set of beautifully straight teeth!

Low cost, superior quality braces

Affordable braces or Invisalign? Today Dental is your go-to in Keller. With low down payments and spaced out payment plans, we’ve removed the barriers to achieving a radiant smile.

Complete dental care

Enjoy family dentistry, implants, dentures, and orthodontics all in one place. Straighten your smile or correct that overbite with Invisalign or braces. Come see our board-certified orthodontist today!

Unmatched service

Discover exceptional care with our board-certified orthodontist. We rely on the highest-quality, time-proven orthodontic materials for lasting results.

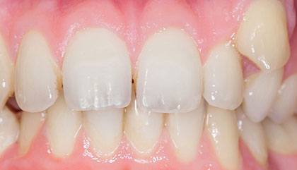
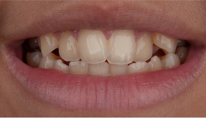
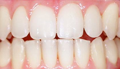
Perfect Smile, Perfect You!

before
after
before
after
before
after
before
after

Opening Hours

DayHours
Monday8:30 a.m. - 5:30 p.m.
Tuesday8:30 a.m. - 5:30 p.m.
Wednesday8:30 a.m. - 5:30 p.m.
Thursday8:30 a.m. - 5:30 p.m.
Friday8:30 a.m. - 3:00 p.m.
Saturday8:00 a.m. - 2:00 p.m.
SundayClosed

YOUR Keller TEAM

Keller Office
Keller Office
Keller Office
Keller Office
Keller Office
Keller Office
Keller Office
Keller Office
Keller Office
RH
Rhiannon H.

Love this place! Great doctor, we love Dr Kirk already. The office is absolutely beautiful and super clean. Those prices can not be beat like seriously even if your self pay. I can not recommend this Place enough!!

IW
Icey W.

I have truly enjoyed my experience with Today Dental. The staff is amazing, Dr. Merkley was very nice and explained the procedure wonderfully! Savanah did a great job with assisting us as well! I definitely recommend this company.

JM
Jerlene M.

Recently went back to visit today because I was having some problems with my gum. Everyone was so friendly and nice. very clean environment. I would recommend today’s Dental

KH
KhrisTopher H.

This was my first visit and I absolutely loved the way they made me feel there. The ladies were great and personable. I felt like I was in good hands with the dentist as well.

You’ve made it this far. . .

FREE Teeth Whitening

Just ask at your first visit

Your Keller ORTHODONTIC EXPERTS

Frequently Asked Questions

How long will it take to design and construct my ideal smile?

The path to your perfect smile is a one-of-a-kind masterpiece! Several factors, like the spacing between your teeth, the underlying bone structure, and even your age, influence the building process. Minor adjustments can be achieved quickly, with options like Invisalign Express 10 taking as little as 5 months. However, complex cases may require a more intricate blueprint, up to 3 years. Feeling a little apprehensive about the time investment? At Today Dental, we offer free consultations to discuss treatment options and create a personalized blueprint designed specifically for you. Start building your dream smile today!

What's the financial impact for braces/Invisalign?

Naturally, costs depend on the time needed to achieve a dazzling smile. Shorter treatment plans are generally easier on your wallet. On average, traditional braces typically range from a foundation level ($3,500) to a penthouse level ($6,000). Minor adjustments can even be as low as a single brick ($1,600). Concerned about fitting orthodontics into your budget? We understand braces and Invisalign can be a significant financial hurdle. That's why Today Dental offers flexible payment plans to suit your needs, including low down payments and extended plans (18-36 months).

What happens during my first appointment with an orthodontist?

Curious about the first step in designing your smile? During your 1-1.5 hour visit, we prioritize your comfort and clear communication. We'll take a special X-ray (Cephalogram) to map your unique bone structure, acting as the foundation for your smile. Our board-certified orthodontist will then conduct a thorough examination and develop a personalized treatment plan designed to achieve your desired smile goals. This plan will incorporate your preferred tools (traditional braces or clear aligners), costs, and the estimated timeframe. Don't hesitate to ask any questions you may have! In most cases, we can even get you started with treatment on the same day!

Should I choose braces or clear aligners?

Both traditional braces (metal brackets and wires) and clear aligners (like Invisalign) effectively straighten teeth and correct bite issues, but they take different approaches. Braces act like tiny sculptors, meticulously adjusting your teeth's position. Clear aligners, on the other hand, function more like camouflage, gradually shifting your teeth into place with a series of clear, removable trays. Traditional braces offer superior control for complex cases, while clear aligners provide a more discreet treatment option. Schedule a free consultation to discuss which approach best aligns with your unique needs and lifestyle goals!

Can I switch to a Today Dental of Keller orthodontist in the middle of my treatment?

Absolutely! Life throws curveballs, and we understand. We're committed to helping you achieve your smile goals regardless of where you are in your treatment journey. Our team at Today Dental welcomes patients at any point in their orthodontic process, whether you're just starting the foundation or nearing the final polish. Schedule a free consultation to discuss your options and ensure a smooth transition in your orthodontic care. Together, we'll ensure your smile's design remains flawless!