Implants…

Absolutely!
Experience Matters.
0
Implants placed... and counting ;)

Your Keller Dentist

Owners of Today Dental

Today Dental Crowley

Implant customization

Buckle up for variety! One implant, implant retained overdentures, or the revolutionary All-On-Four – we’re on a mission to tailor your treatment to meet your specific needs.

Fewer dental visits

Utilizing high-tech methods, we streamline implant placement and induce faster healing, cutting down on appointments. Spend time doing what you love and less time in the dental office.

No more pain

Fearful of the dentists? Shake it off! Explore our sedation options from conscious sedation, IV sedation or laughing gas. Your Keller dentists ensures your dental visit is a pain-free delight.

Mastering dental implants!

At Today Dental of Keller, we’re not just experienced dentists; we’re masters of dental implant placement! Countless hours in education and collaborating with local labs make us your go to implant team

Unparalleled strength

Say goodbye to weak teeth at Today Dental of Keller! We deliver unbeatable dental implants using cutting-edge tech and a diverse assortment of hydroxyapatite-coated titanium options for faster healing!

Money kept in your pocket

Today Dental – where dental implants and savings collide! Our streamlined approach to implants guarantees a wallet-friendly experience to a stunning smile.

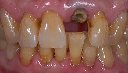
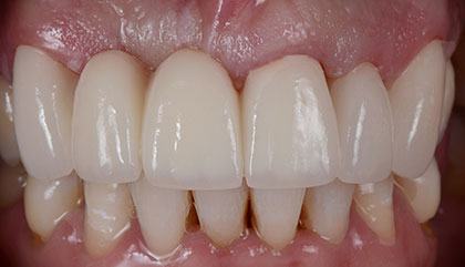
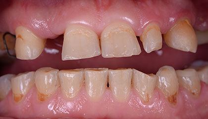
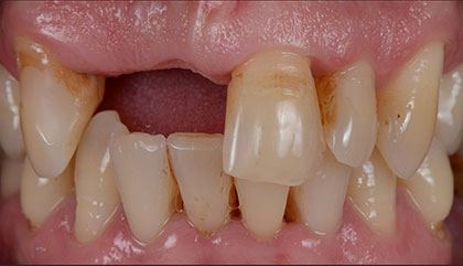
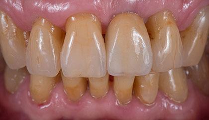
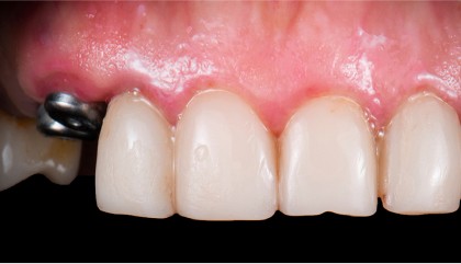
Love Your Smile, Love Your Implant

before
after
before
after
before
after
before
after

Opening Hours

DayHours
Monday8:30 a.m. - 5:30 p.m.
Tuesday8:30 a.m. - 5:30 p.m.
Wednesday8:30 a.m. - 5:30 p.m.
Thursday8:30 a.m. - 5:30 p.m.
Friday8:30 a.m. - 3:00 p.m.
Saturday8:00 a.m. - 2:00 p.m.
SundayClosed

YOUR Keller TEAM

Keller Office
Keller Office
Keller Office
Keller Office
Keller Office
Keller Office
Keller Office
Keller Office
Keller Office
RH
Rhiannon H.

Love this place! Great doctor, we love Dr Kirk already. The office is absolutely beautiful and super clean. Those prices can not be beat like seriously even if your self pay. I can not recommend this Place enough!!

IW
Icey W.

I have truly enjoyed my experience with Today Dental. The staff is amazing, Dr. Merkley was very nice and explained the procedure wonderfully! Savanah did a great job with assisting us as well! I definitely recommend this company.

JM
Jerlene M.

Recently went back to visit today because I was having some problems with my gum. Everyone was so friendly and nice. very clean environment. I would recommend today’s Dental

KH
KhrisTopher H.

This was my first visit and I absolutely loved the way they made me feel there. The ladies were great and personable. I felt like I was in good hands with the dentist as well.

You’ve made it this far. . .

FREE Teeth Whitening

Just ask at your first visit

Your Keller DENTAL IMPLANT EXPERTS

Frequently Asked Questions

How long does the process take?

While the exact timeline varies and depends on the number of implants needed, the process typically involves multiple appointments. There are five general steps involved, although some individuals may only require three depending on their unique situation, existing bone health, and remaining teeth. Here's a breakdown of the average timeframes for each step:

  • Step 1: This step may involve tooth extraction and bone grafting, followed by a 4-6 month healing period.
  • Step 2: The implant is placed, then another 4-6 months of healing is required.
  • Step 3: The implant is uncovered, a healing abutment is placed, and healing takes 3-4 weeks.
  • Step 4: An impression is taken for the crown, with a 2-3 week wait for fabrication.
  • Step 5: The final crown is delivered.

It's important to note that most patients don't require all five steps. In many cases, implants can be placed immediately, or multiple steps can be combined into one appointment. Ultimately, most patients at Today Dental of Keller complete the entire process, from implant placement to crown insertion, within 4-5 months.

What is the cost involved?

Implant costs can vary depending on individual needs, typically ranging from $1,200 to $2,500 per implant. This cost may not include additional procedures like abutments, extractions, bone grafting, or the final crown, which aren't always necessary. At Today Dental of Keller, we understand the cost concerns associated with implants. We're committed to making them accessible through various options:

  • Working within your budget: We discuss various financial options and explore ways to make implants affordable for your unique situation.
  • Maximizing insurance benefits: We help you maximize your dental insurance coverage to minimize out-of-pocket costs.
  • Offering discounts: We offer our in-office CareDent Plan for additional discounts on your treatment.

Schedule your free, no-obligation implant consultation today to discuss your options and get a personalized cost estimate.

What happens during the first visit?

During your first visit, we'll conduct a comprehensive evaluation to determine if implants are right for you. This evaluation will assess your bone, anatomy, gums, sinuses, oral health, and other structures to determine the necessary steps for implant placement. We'll present a transparent treatment plan outlining the timeframe and associated costs, ensuring there are no hidden fees. Additionally, whenever possible, we strive to streamline the process by initiating treatment during your first appointment, if you're comfortable with it.

Why choose dental implants?

Dental implants, often referred to as "artificial roots," are a popular tooth replacement option with excellent long-term success rates (in the absence of disease). Compared to removable dentures, implants more closely resemble natural teeth in both appearance and function. While nothing truly compares to a natural tooth, dental implants offer the closest alternative in terms of look, feel, and function. Many of our patients in Keller choose implants for these very reasons.

Will it be painful?

Patient comfort is our top priority. Our experienced dentist utilizes cutting-edge technology and techniques to minimize discomfort throughout the entire implant process. While there may be some slight discomfort during the numbing process or potential tooth extraction, this is typically minimal. Additionally, we offer various pain management options to ensure a comfortable experience, including IV sedation, conscious sedation (oral medication and nitrous oxide), and nitrous oxide (laughing gas).