A Reason to Smile…

Free Teeth Whitening

Your Keller Dentist

Owners of Today Dental

Today Dental Crowley

Teeth as white as snow

We truly understand that discolored teeth can influence more than just your grin. Your Keller dentists will provide you with custom trays, in-office professional whitening, and whitening kits, all designed to brighten your smile.

Lower cost, whiter and brighter

Discover inexpensive teeth whitening at your Keller dentists, without compromising on quality or results. We’ve intentionally kept costs down, ensuring you can achieve the smile you’ve always desired.

Pain free teeth whitening

Opt for professional teeth whitening at Today Dental of Keller – the sensitivity-free way! Leave post-op sensitivity behind and get complimentary desensitizing gel for extra comfort.

Ready to turn heads?

Whether it’s your wedding day or a reunion bash, teeth whitening is the secret weapon for a quick, easy, and youthful boost. Count on us – we’ve got you covered!

Dentist with compassion

Uncover a unique approach to dental care at Today Dental of Keller. It’s not just about the aesthetics; we strive to build enduring relationships with our patients.

Keller Whitening 4 Life

Get your teeth whitened at no cost to you! We’ll provide personalized whitening trays and whitening gel at your first appointment. And don’t forget – claim a free tube of whitening gel each time you pop in for a cleaning!

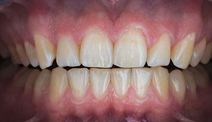
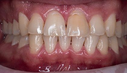
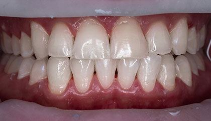
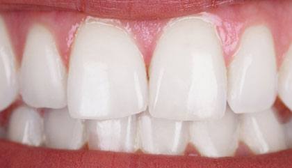
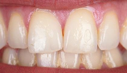
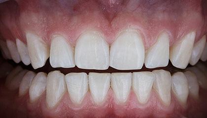
Beautiful White Smiles

before
after
before
after
before
after
before
after
before
after

Opening Hours

DayHours
Monday8:30 a.m. - 5:30 p.m.
Tuesday8:30 a.m. - 5:30 p.m.
Wednesday8:30 a.m. - 5:30 p.m.
Thursday8:30 a.m. - 5:30 p.m.
Friday8:30 a.m. - 3:00 p.m.
Saturday8:00 a.m. - 2:00 p.m.
SundayClosed

YOUR Keller TEAM

Keller Office
Keller Office
Keller Office
Keller Office
Keller Office
Keller Office
Keller Office
Keller Office
Keller Office
RH
Rhiannon H.

Love this place! Great doctor, we love Dr Kirk already. The office is absolutely beautiful and super clean. Those prices can not be beat like seriously even if your self pay. I can not recommend this Place enough!!

IW
Icey W.

I have truly enjoyed my experience with Today Dental. The staff is amazing, Dr. Merkley was very nice and explained the procedure wonderfully! Savanah did a great job with assisting us as well! I definitely recommend this company.

JM
Jerlene M.

Recently went back to visit today because I was having some problems with my gum. Everyone was so friendly and nice. very clean environment. I would recommend today’s Dental

KH
KhrisTopher H.

This was my first visit and I absolutely loved the way they made me feel there. The ladies were great and personable. I felt like I was in good hands with the dentist as well.

You’ve made it this far. . .

FREE Teeth Whitening

Just ask at your first visit

Your Keller WHITENING EXPERTS

Frequently Asked Questions

When should I expect to see this finished?

Skip the at-home hassle! Professional whitening (Zoom/Boost) offers a one-time solution (1-1.5 hours) using stronger gels and light for a brighter smile, surpassing take-home kits.

Could you clarify if this whitening process is compatible with veneers or crowns?

Just a heads-up: whitening won't change veneers or crowns. But fret not! Your dentists at Today Dental of Keller can explore other possibilities for a brighter smile.

Is there a price range available for this?

Complimentary teeth whitening awaits you! At Today Dental of Keller, we provide custom whitening trays, gel, and a case, entirely free of charge, to all our patients. We offer free gel refills and lost tray replacements for your convenience. For even faster whitening results, explore our in-office professional service, typically priced between $200-$300 (consider holiday specials for potential price reductions).

Is teeth whitening a viable option for my teeth?

Unlocking a whiter smile is possible, but with a few considerations! At Today Dental, we assess each case to determine if whitening is suitable. We consider factors like your current teeth condition, oral health, and desired outcome. While effective for stains caused by age, food/drinks, and smoking, whitening may not be recommended for untreated cavities, gum disease, or other dental issues. Additionally, overuse or improper use of whitening products can lead to sensitivity and complications. Consulting your dentists is essential before proceeding.

Should I hold off on teeth whitening for now?

Caution: younger individuals and whitening. Generally, teeth whitening is not recommended for those under 16 at Today Dental. This is due to the developing state of their teeth, which can be more sensitive. We can offer guidance on waiting or alternative approaches to a brighter smile.