Dental Cleanings

Never Felt So Clean

Your Keller Dentist

Owners of Today Dental

Today Dental Crowley

New Ultrasonic technology

Transform your dental cleaning routine at Today Dental of Keller with ultrasonic cleanings. Our commitment to the latest technologies, including the Cavitron and laser, guarantees a superior and time-effective process.

Cost savings approach

Focus on financial efficiency with Today Dental. Through the implementation of lasers and ultrasonic scalers, we’ve cut down cleaning appointment times, passing the resulting savings directly to you.

Comfortable and pain-free

Today Dental of Keller guarantees pain-free dental cleanings, combining technology with a gentle touch. Select from our three sedation options: IV sedation, conscious sedation, and nitrous oxide, ensuring your comfort every step of the way.

Quick and easy

Streamline your dental visit with less time in the chair. Swift seating, rapid teeth cleaning, and a prompt completion. It’s a simple and efficient process.

Gentle and tender feeling

Eliminate the discomfort of poking and prodding! At your Keller dentists, heavy-handed dental cleanings are not tolerated. We use only fingertip pressure, ensuring your teeth are cleaned without any chair-induced surprises.

Better Teeth Better Health

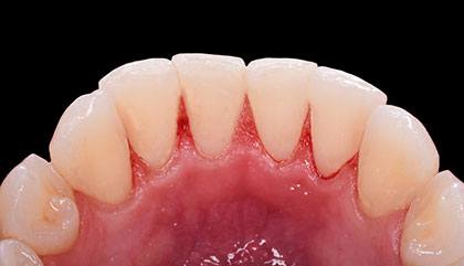
before
after
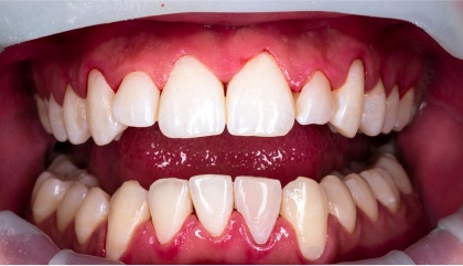
before
after
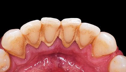
before
after
before
after

Opening Hours

DayHours
Monday8:30 a.m. - 5:30 p.m.
Tuesday8:30 a.m. - 5:30 p.m.
Wednesday8:30 a.m. - 5:30 p.m.
Thursday8:30 a.m. - 5:30 p.m.
Friday8:30 a.m. - 3:00 p.m.
Saturday8:00 a.m. - 2:00 p.m.
SundayClosed

YOUR Keller TEAM

Keller Office
Keller Office
Keller Office
Keller Office
Keller Office
Keller Office
Keller Office
Keller Office
Keller Office
RH
Rhiannon H.

Love this place! Great doctor, we love Dr Kirk already. The office is absolutely beautiful and super clean. Those prices can not be beat like seriously even if your self pay. I can not recommend this Place enough!!

IW
Icey W.

I have truly enjoyed my experience with Today Dental. The staff is amazing, Dr. Merkley was very nice and explained the procedure wonderfully! Savanah did a great job with assisting us as well! I definitely recommend this company.

JM
Jerlene M.

Recently went back to visit today because I was having some problems with my gum. Everyone was so friendly and nice. very clean environment. I would recommend today’s Dental

KH
KhrisTopher H.

This was my first visit and I absolutely loved the way they made me feel there. The ladies were great and personable. I felt like I was in good hands with the dentist as well.

You’ve made it this far. . .

FREE Teeth Whitening

Just ask at your first visit

Your Keller DENTAL cLEANING EXPERTS

Frequently Asked Questions

In a dental pinch and need to get in to see a dentists?

We've got you covered! Today Dental prioritizes same-day appointments, understanding that your time is precious. If, by chance, our doors are closed, we'll effortlessly connect you with our sister clinic nearby. We strive to make dental care convenient and accessible.

Ever heard of an ultrasonic cleaning?

It's like a high-tech spa day for your teeth! This innovative technology uses sound waves and a special solution to gently remove plaque, tartar, and stains, offering a more comfortable and efficient experience than traditional methods.

Thinking about a "deep cleaning"?

No worries! Our experienced team is well-versed in scaling and root planing (deep cleanings). We'll conduct a thorough oral health evaluation and develop a customized treatment plan just for you. At Today Dental, personalized care is our guiding principle.

Wondering if a regular cleaning is enough before a deep cleaning?

While regular cleanings are essential for maintaining good oral health, they are not recommended for individuals requiring a deep cleaning due to gum disease. Deep cleaning addresses advanced plaque and tartar buildup below the gumline, necessitating specific treatment protocols. In some cases, a preliminary debridement cleaning might be necessary to prepare your teeth for the deep cleaning appointment.

Curious about appointment times?

The duration depends on various factors like your patient status and the procedure needed. Typically, routine cleanings with exams and X-rays take an hour for returning patients and an hour and a half for new patients. Deep cleanings (scaling and root planing) usually require a separate appointment, lasting anywhere from one to three hours, depending on the severity of the case.