Implant Dentures & All-on-4s...

No More Wobble!
Experience Matters.
0
Delivered dentures... and counting ;)

Your Keller Dentist

Owners of Today Dental

Today Dental Crowley

Reduced denture costs

We pride ourselves on efficiency which leads to cost savings. Any savings will be directly passed on to you, reflecting our dedication to providing exceptional dental care without compromising on affordability.

No more pain!

Choose from IV sedation, conscious sedation, or nitrous oxide – we’ve got options to make you as comfy as lounging on your home couch. Rest assured in our dedication to pain-free techniques, ensuring your visit is entirely pain-free!

Experienced denture dentist

Love the way your dentures look! Whether it’s flexible, metal, or acrylic, we’ve got you covered. Our close ties with trusted local labs and a doctor with years of experience mean you’re getting the perfect denture at Today Dental of Northlake. Our patients appreciate all that expertise!

Save time and money!

Your dentists in Keller has perfected methods and the latest techniques to enhance the dental denture procedure, ensuring you spend less time at our office and more quality time with your loved ones.

Improved strength

Our dentures are hand crafted for long-lasting durability and beautiful aesthetics! At Today Dental of Keller, we take pride in creating esthetic dentures that seamlessly blend with your natural smile.

Dental implant denture

We’re all about keeping your natural smile intact with our denture treatment. Dentures with implants? Absolutely incredible! They’re not just beautiful; they’re also stable. That’s exactly what we specialize in!

Who’s ready for Steak?

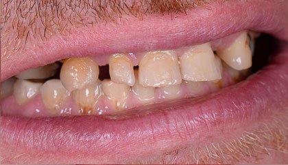
before
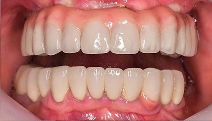
after
before
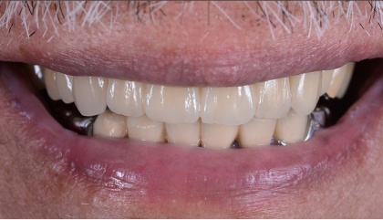
after
before
after
before
after

Opening Hours

DayHours
Monday8:30 a.m. - 5:30 p.m.
Tuesday8:30 a.m. - 5:30 p.m.
Wednesday8:30 a.m. - 5:30 p.m.
Thursday8:30 a.m. - 5:30 p.m.
Friday8:30 a.m. - 3:00 p.m.
Saturday8:00 a.m. - 2:00 p.m.
SundayClosed

YOUR Keller TEAM

Keller Office
Keller Office
Keller Office
Keller Office
Keller Office
Keller Office
Keller Office
Keller Office
Keller Office
RH
Rhiannon H.

Love this place! Great doctor, we love Dr Kirk already. The office is absolutely beautiful and super clean. Those prices can not be beat like seriously even if your self pay. I can not recommend this Place enough!!

IW
Icey W.

I have truly enjoyed my experience with Today Dental. The staff is amazing, Dr. Merkley was very nice and explained the procedure wonderfully! Savanah did a great job with assisting us as well! I definitely recommend this company.

JM
Jerlene M.

Recently went back to visit today because I was having some problems with my gum. Everyone was so friendly and nice. very clean environment. I would recommend today’s Dental

KH
KhrisTopher H.

This was my first visit and I absolutely loved the way they made me feel there. The ladies were great and personable. I felt like I was in good hands with the dentist as well.

You’ve made it this far. . .

FREE Denture Cleaning

Just ask at your first visit

Your Keller DENTURE EXPERTS

Frequently Asked Questions

What’s the time duration?

While dental implants can take a year or more, dentures can be crafted in just a few weeks. Need a quicker solution? We offer expedited services with temporary replacements available within 1-2 business days. The typical process involves 2-3 appointments spread over 3-4 weeks, depending on factors like new vs. replacement dentures, healing time, and the specific type chosen.

Are dentures affordable for you?

Compared to other tooth replacement options, dentures are often a cost-effective choice, especially with insurance. They generally range from $550 to $2,000, depending on the number of missing teeth, the material and type of denture, and your insurance coverage. We also offer an In-Clinic Savings Program for patients without insurance.

What to expect during the consultation?

TDuring your initial consultation, the dentist will delve into your options, outlining the entire process, timeline, and associated fees. They may also take digital impressions of your mouth on the same day to streamline the denture creation process, minimizing the number of appointments needed.

Can dentures improve your life?

Absolutely! Dentures can significantly enhance your overall well-being by allowing you to eat, speak, and smile with confidence again. Whether you're missing a few teeth or need a full set, dentures offer a versatile and accessible solution. Beyond functionality, dentures can even benefit your facial structure by maintaining natural contours and preventing the sagging that can occur with tooth loss. We offer various options, including full dentures, partial dentures, and implant-supported dentures, to find the perfect match for your specific needs and lifestyle preferences.

Do you offer denture repairs?

Of course! We prioritize patient convenience, aiming to repair your dentures in 1-2 days in most cases. Whenever possible, we utilize advanced techniques to focus on preserving and revitalizing your existing dentures. If repairs are viable, it's generally a faster and more cost-effective option compared to complete replacements. Your satisfaction and well-being are our top priorities!