
Your Keller Dentist

Opening Hours
Day | Hours |
---|---|
Monday | 8:30 a.m. - 5:30 p.m. |
Tuesday | 8:30 a.m. - 5:30 p.m. |
Wednesday | 8:30 a.m. - 5:30 p.m. |
Thursday | 8:30 a.m. - 5:30 p.m. |
Friday | 8:30 a.m. - 3:00 p.m. |
Saturday | 8:00 a.m. - 2:00 p.m. |
Sunday | Closed |
Your Keller ROOT CANAL EXPERTS
Frequently Asked Questions
Feeling anxious about a root canal?
Modern advancements have revolutionized root canals, making them a comfortable experience for most patients. Local anesthesia minimizes discomfort, and many report feeling relaxed and at ease throughout the procedure. Our compassionate team is here to guide you through the process with care and understanding.
Can a root canal weaken my tooth?
It's true that larger back teeth, especially molars, can be more susceptible to fractures after a root canal due to a loss of blood supply. However, this risk is relatively low. To address this potential concern, dentists often recommend placing a crown on back teeth after the procedure for added strength. Front teeth typically don't require crowns following a root canal.
Can I get a root canal today?
At Today Dental, we understand the importance of prompt care and getting you back to your daily routine quickly. We dedicate specific slots in our schedule for same-day root canals, aiming to get you out of pain and on the road to recovery as soon as possible. In the rare instance our office is closed, we'll collaborate with our partner clinic to ensure you receive prompt care.
I don't feel any pain, does this mean I don't need a root canal?
The absence of pain doesn't necessarily guarantee a healthy tooth. A root canal might still be necessary even when you experience no discomfort. This often indicates the tooth is already "dead" (lacking a nerve), explaining the absence of pain. However, the underlying infection within the tooth can still spread and lead to serious complications like abscesses if left untreated. Our dentists utilize advanced diagnostic tools, including X-rays, to accurately diagnose your specific needs and recommend the most appropriate treatment option.
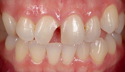
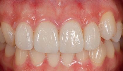
Extraction vs. Root Canal: Which option is right for me?
While extracting a tooth may seem like a quicker fix initially, it can often lead to greater financial burdens down the line. Replacing a missing tooth with implants or dentures can be significantly more expensive than saving the natural tooth with a root canal (and potentially a crown). Additionally, each tooth plays a vital role in maintaining the structure and function of your jaw, preventing surrounding teeth from shifting and causing misalignment. Choosing a root canal can not only save you money but also contribute to a long-term healthy and stable smile, preserving your natural teeth for optimal chewing and aesthetics.