Crowns...

Absolutely
Experience Matters.
0
Crowns cemented... and counting ;)

Your Keller Dentist

Owners of Today Dental

Today Dental Crowley

Reducing crown costs

We pride ourselves on efficiency which leads to cost savings. Any savings will be directly passed on to you, reflecting our dedication to providing exceptional dental care without compromising on affordability.

No more pain!

From IV sedation, conscious sedation, and nitrous oxide we provide a means for you to be as comfortable as sitting on your couch at home. Take comfort in our commitment to providing pain-free techniques, guaranteeing a pain free visit!

Experienced dental professionals

We prioritize strong, beautiful crowns! Our Keller Texas dentist has invested years in refining their skills to produce the ideal crown and attended hundreds of Continuing Education hours to perfect those skills.

Saving time and money!

Your Keller dentist has prepared methods and the most recent techniques to improve the dental crown procedure, resulting in less time spent at our office and more time spending with those you love.

Unparalleled strength

Crowns designed to be long-lasting, durable and beautiful! At Today Dental of Keller we pride ourselves on esthetic crowns that blend with your natural teeth.

Conservative plan

We prioritize the retention of tooth structure, preserving your natural teeth for several decades to come. If you’re seeking a conservative dentist, you’ve certainly found the right place.

Great Crowns are Backed by Great Warranties

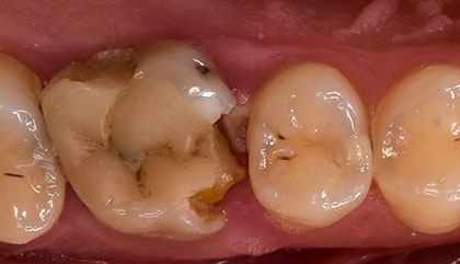
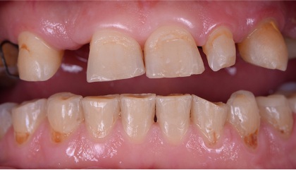
before
after
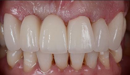
before
after
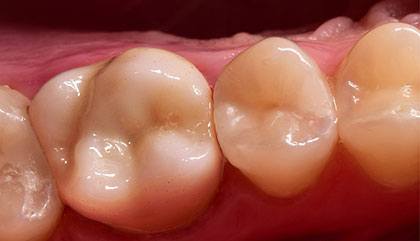
before
after
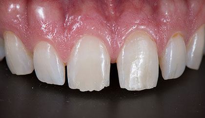
before
after

Opening Hours

DayHours
Monday8:30 a.m. - 5:30 p.m.
Tuesday8:30 a.m. - 5:30 p.m.
Wednesday8:30 a.m. - 5:30 p.m.
Thursday8:30 a.m. - 5:30 p.m.
Friday8:30 a.m. - 3:00 p.m.
Saturday8:00 a.m. - 2:00 p.m.
SundayClosed

YOUR Keller TEAM

Keller Office
Keller Office
Keller Office
Keller Office
Keller Office
Keller Office
Keller Office
Keller Office
Keller Office
RH
Rhiannon H.

Love this place! Great doctor, we love Dr Kirk already. The office is absolutely beautiful and super clean. Those prices can not be beat like seriously even if your self pay. I can not recommend this Place enough!!

IW
Icey W.

I have truly enjoyed my experience with Today Dental. The staff is amazing, Dr. Merkley was very nice and explained the procedure wonderfully! Savanah did a great job with assisting us as well! I definitely recommend this company.

JM
Jerlene M.

Recently went back to visit today because I was having some problems with my gum. Everyone was so friendly and nice. very clean environment. I would recommend today’s Dental

KH
KhrisTopher H.

This was my first visit and I absolutely loved the way they made me feel there. The ladies were great and personable. I felt like I was in good hands with the dentist as well.

You’ve made it this far. . .

FREE Teeth Whitening

Just ask at your first visit

Your Keller CROWN & Bridge EXPERTS

Frequently Asked Questions

How long does it take?

Crowns and bridges are typically done in 2 appointments, 2 to 3 weeks apart. Crowns can be done in as little as 2 days based on need (i.e. broken front tooth). There are many dental offices out there providing same days crowns. Same day crowns work in some cases but we’ve learned from our own clinical experience that crowns made in our local lab (and baked at 1,500+ degrees) work better for our patients. At Today Dental of Keller our priority is durability and fit.

Can I afford a crown?

Yes! Crowns are much less expensive than the alternative (i.e. root canal and crown, implants or dentures). At Today Dental we’ll work within you budget to get you the treatment needed at an affordable price. We have an in-office discount plan (CareDent) for patients without dental insurance and we’ll break up payments so you don’t have to pay it all up front. There are different types of crowns (i.e. metal, gold, porcelain & zirconia). The price varies depending on location in the mouth and type of material used. A cash paying patient can expect to pay between $900 - $1,400 while a patient with dental insurance may pay less.

What to expect on your 1st visit?

At Today Dental of Keller we pride ourselves on efficiency. Upon arrival you’ll be greeted by name, brought back to the dental chair where x-rays and pictures will be taken of your teeth. The dentist will visit with you and gently probe and ask questions like “Do you have any sensitivity or discomfort?” Finding decay or a fractured tooth may require dental crown treatment. In most cases, we will start treatment same-day (we are Today Dental as you know :). After prepping your tooth for a crown, the dental assistant will make you a temporary crown. An impression will be made of your tooth and you will return in 2 to 3 weeks to have your crown permanently seated in your mouth.

What is a dental bridge?

A dental bridge is similar to a crown except that it spans the gap created by one or more missing teeth. It consists of two or more crowns for the teeth on either side of the gap (abutment teeth) and a false tooth or teeth in between (pontic). The abutment teeth serve as anchors, and the pontic fills the space, restoring the appearance and functionality of the missing teeth. Dental bridges can be made from various materials, such as porcelain, zirconia, metal, or a combination of both, and they are cemented or bonded onto the natural teeth for stability. Dental bridges are a quick and easy way to replace one or two missing teeth. They are not, however, ideal for placing too many missing teeth, which is something a dental professional will need to advise you on.

Why should I get a crown?

At Today Dental of Keller we always take the conservative approach. Our goal is to save as much natural healthy tooth structure as possible. There is nothing a dentist has that will beat a natural tooth. So, why get a dental crown? It saves teeth! It also saves enamel compared to other options such as implants or dentures where the tooth would be removed entirely. Dental crowns are a simple, quick way to strengthen broken, cracked and decayed teeth. Dental crowns can also be used to improve esthetics and function (chewing).